
Cum luptă sistemul imunitar cu noul coronavirus
Oamenii de ştiinţă din Australia au identificat modul în care sistemul imunitar luptă cu noul coronavirus Covid-19 după ce au monitorizat evoluţia bolii unui pacient care s-a recuperat fără antivirale, antibiotice sau steroizi.
Studiul publicat marţi în publicaţia Nature arată faptul că persoanele infectate care dezvoltă o formă moderată de boală au un proces de recuperare asemănător unei forme de gripă. Totodată, reacţiile mai prompte ale sistemului imunitar pot fi corelate cu evoluţii mai favorabile, se arată în studiul citat.
Pacientă care a început să se vindece la 5 zile de la internare
Echipa australiană de cercetători şi-a bazat concluziile pe cazul unei paciente care a început să se vindece după cinci zile de la internare fără a i se administra medicamente antivirale, antibiotice sau steroizi. După alte cinci zile plămânii erau curaţi, iar creşteri ale nivelulului anticorpilor contra virusului au fost detectate din ziua 7 până în ziua 20. Pacienta s-a vindecat complet în două săptămâni.
Identificarea celulelor imunitare care reacţionează în urma infecţiei se poate dovedi importantă pentru dezvoltarea unui vaccin, a unor tratamente, dar şi pentru a înţelege răspunsurile imunitare diferite la cei care contractează virusul, susţin experţii.
„Descoperirea este semnificativă, întrucât pentru prima oară putem înţelege modul în care sistemul imunitar luptă cu noul coronavirus”, a explicat Katherine Kedzierska, profesor de microbiologie şi imunologie la Universitatea din Melbourne, Australia, unul din coautorii studiului, potrivit adevarul.ro.
Cercetarea efectuată de Institutul Peter Doherty pentru Infecţii şi imunitate din Melbourne a primit aprecieri din partea comunităţii ştiinţifice fiind considerată chiar o descoperire „revoluţionară”. Institutul austalian este de altfel primul din lume după China care a creat o copie a virusului în laborator la începuturile epidemiei, în ianuarie.
Identificare celulelor imunitare mobilizate în lupta cu coronavirusul
Cum zeci de mii de persoane îmbolnăvite din întreaga lume s-au vindecat, faptul că organismul poate învinge cu succes boala era deja cunoscut, însă pentru prima dată oamenii de ştiinţă au identificat celulele imunitare mobilizate în lupta cu virusul – este vorba de patru tipuri diferite de astfel de celule. Cercetătorii le-au văzut în acţiune urmărind evoluţia unei paciente care a prezentat simptome uşoare şi moderate cu o stare de sănătate bună, fără alte afecţiuni.
Simptomele sale – letargie, durere de gât, tuse uscată, durere în piept, dispnee uşoară şi senzaţie de febră – au debutat cu 4 zile înainte de prezentarea la spital, se arată în studiul publicat în Nature. Pacienta, o femeie de 47 de ani din Wuhan, China, a fost tratată într-un spital australian timp de 11 zile: s-a vindecat complet în 14 zile.
Cercetătoarea Kedzierska a declarat pentru BBC că echipa sa a analizat „întreaga plajă a reacţiei imunitare” a acestei paciente. Cu trei zile înainte ca starea ei să se îmbunătăţească, un anumit tip de celule a fost detectat în sânge. Aceleaşi celule apar la bolnavii de gripă când se află pe punctul de a se vindeca, a precizat cercetătoarea.

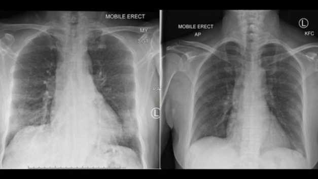
Cum arată plămânii unei paciente cu coronavirus la 5 şi la 10 zile de la infectare FOTO Institutul de Imunologie Doherty din Australia via BBC
„Am fost foarte entuziasmaţi de aceste rezultate – ca şi de faptul că am reuşit să surprindem apariţia celulelor imunitare anterior îmbunătăţirii stării clinice a pacientului”, a spus aceasta. Echipa de oameni de ştiinţă a lucrat la foc continuu o lună de zile pentru analiza studiului de caz. Identificarea momentului intervenţiei celulelor imunitare se poate dovedi de ajutor „pentru prognoza evoluţiei virusului”, a explicat Bruce Thompson, conducătorul departamentului de Ştiinţe ale Sănătăţii de la Universitatea de Tehnologie Swinburne.
Descoperirea poate duce la dezvoltarea unui vaccin
Ministrul australian al sănătăţii Greg Hunt a subliniat că descoperirea poate accelera dezvoltarea unui vaccin sau a unor tratamente pentru cei infectaţi. Kedzierska a precizat că următoarea etapă a cercetării este determinarea cauzelor răspunsului imunitar mai slab al cazurilor grave de infecţie.
„Este extrem de important să putem înţelege ce lipseşte sau ce e diferit la pacienţii care au murit sau au devoltat o boală mai severă – asta ne va permite să ştim cum îi putem proteja”, a spus acesta. Parametrii răspunsului imunologic la grupuri mai mari de pacienţi cu diferite grade de severitate a bolii pot deveni o bază de determinare a evoluţiei bolii şi evaluare a tratamentelor care pot reduce severitatea sau ajuta la alegerea unor candidaţi pentru vaccin.
Centrul a primit finanţare suplimentară de la guvernul australian, dar şi donaţii de la oameni de afaceri între care şi miliardarul chinez Jack Ma.
© Copyright Stiri din Sanatate




